症例紹介|大阪で入れ歯治療なら【みやの歯科医院】
会のご案内
+
会の概要・事業内容
MTC会員制度
講演情報
医院案内
+
治療方針
スタッフ紹介
施設紹介
診療スケジュール
料金表
書籍紹介
MTコネクター
入れ歯治療
入れ歯について
+
技工所の中にある歯科医院
口もとをより美しく
抜歯した翌日に義歯が入る
病気の原点は口腔にあった!
ひずみは2週間から3ヶ月で改善する
治療義歯と本義歯はどう違う?
天然歯と同じように噛みましょう
噛むことで筋肉は引き締まる
本義歯の完成時がスタート
MTC通院MAP
症例紹介
ブログ
お問い合わせ
会のご案内
会の概要・事業内容
MTC会員制度
講演情報
医院案内
治療方針
スタッフ紹介
施設紹介
診療スケジュール
料金表
書籍紹介
MTコネクター
入れ歯治療
入れ歯について
技工所の中にある歯科医院
口もとをより美しく
抜歯した翌日に義歯が入る
病気の原点は口腔にあった!
ひずみは2週間から3ヶ月で改善する
治療義歯と本義歯はどう違う?
天然歯と同じように噛みましょう
噛むことで筋肉は引き締まる
本義歯の完成時がスタート
MTC通院MAP
症例紹介
ブログ
お問い合わせ
症例紹介
ホーム
>
症例紹介
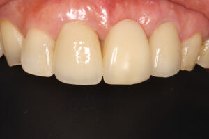
中間欠損(1・2本)
中間欠損
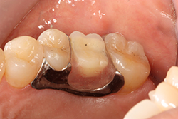
片側遊離端
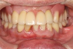
両側遊離端
総義歯
中間欠損(1・2本)
30代 女性中間欠損(1・2本) MTC
この症例を見る
女性中間欠損(1・2本) MTC
この症例を見る
中間欠損(1・2本)をもっと見る
中間欠損
女性中間欠損 MTC
この症例を見る
60代 女性中間欠損 MTC
この症例を見る
中間欠損をもっと見る
片側遊離端
現在、片側遊離端の症例は準備中です。
両側遊離端
女性両側遊離端 MTC
この症例を見る
男性両側遊離端 MTC
この症例を見る
両側遊離端をもっと見る
総義歯
女性総義歯 Full
この症例を見る
男性総義歯 MTC
この症例を見る
総義歯をもっと見る