2025年10月30日
入れたらすぐにスルメが噛める、ピーナッツが噛める。
既にあるはめている義歯を改造していい状態を長期的に保つという考えの義歯です。
義歯がない、もしくははめてられない義歯の場合当院でレジン床(プラスチックの義歯)をレンタルで即日もしくは2日間で噛める食べられる義歯を新たにつくります。
ただし会員を辞める場合は義歯返却。
セット後の義歯メンテナンス料金は会員料金でかかってきます。
治療は別途お費用かかります。

私たちは義歯のスペシャリスト集団です。
一般社団法人MTC歯科臨床研究会は、
正しい咬合に導く入れ歯で骨格・筋肉のバランスを整え、
さらに全身の歪みを改善していくことで、健康な身体づくりを目指します。
日々の研究と臨床を通じて、義歯治療による健康増進をめざすとともに、
よりよい歯科医療の発展に貢献します。
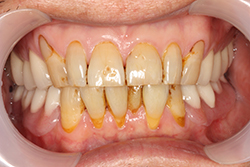
before
after
女性/中間欠損(1・2本)
左上1番欠損を両隣在歯のクラウンをやりかえ
MTコネクターで補綴した症例
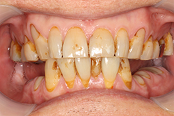
before
after
30代 女性/中間欠損(1・2本)
右上6番1本欠損をMTコネクターで補綴した症例
before
after
60代女性/中間欠損
フレアアウト症例を単独冠と上下のMTコネクターで補綴し、
機能と審美の回復を図った症例 アイヒナー分類B4
before
after
男性/両側遊離端
S.M. バケツ冠症例
before
after
男性/総義歯
咬合挙上しフルバランスドを与えることで
様々な不定愁訴が改善された1症例 アイヒナー分類C2
入れ歯が合わなくなる主な原因は、時間が経つにつれて歯茎の形が変わることと、噛み合わせにずれが生じることです。合わない入れ歯を使い続けると、頭痛や肩こりなどの体調不良や、歯茎に傷ができることもあります。当院では、口の中の構造や粘膜に合わせて歯茎にぴったりフィットする入れ歯を作成しています。これにより、快適な装着感と使いやすさを実現しています。
欠けた歯は、入れ歯やブリッジと呼ばれる治療法で修復できます。1本の歯が欠けていて、両側の歯が健康な場合は、通常のブリッジを使うことができます。しかし、ブリッジを使うには支える周りの歯が健康である必要があり、もし健康でなければ他の治療方法を検討する必要があります。当院では、周りの歯に関係なく、歯茎でしっかり支える快適で丈夫な入れ歯を作成することができます。
保険診療の部分入れ歯は、歯に引っかける金属のバネ(クラスプ)で安定させます。このバネがお口を開けたときに目立ってしまうことがあります。当院の入れ歯は、歯とプレートを歯の後ろ側から 斜め方向に「はめ込む」だけで装着するため、目立たず、手入れの手間も最小限でストレスなくご使用いただけます。

当院では本義歯装着時、メンテナンス時の臼歯人工歯交換セット時に全ての患者様にピーナッツチェック®、スルメチェック®を行い確実に噛めることを保証しています。累計数千症例
ロウ義歯(完成の一歩手前の土台が蝋燭のロウでできた入れ歯)でピーナッツが噛み砕くことができ、土台と人工歯が壊れないことを確認テストすること
本義歯完成装着時、もしくはメンテナンスの臼歯人工歯交換装着時にスルメと茎わかめを難なくすりつぶし噛み風味を味わうことができることを確認すること
入れ歯は使用していくと痛い、噛めない、外れる等だんだんと合わなくなってきます。入れ歯の人工歯はすり減るとともに入れ歯をのせている歯茎も痩せてきたり天然歯は日々微妙に動いているのですからこれは当然のことです。
また、身体が変化することで噛み合わせが変わり今まで合っていた入れ歯が全く合わなくなることがあります。合わなくなったからまた新しい入れ歯を作り替えるのではなく一度良い入れ歯を作ったなら同じ入れ歯のパーツ(人工歯、床、フレーム)を交換もしくは修理することでずっと良い状態で使い続けて欲しいのです。そうすることで初めてその入れ歯はその人の身体の一部となっていきます。
何度でも新品同様にその人のその時の身体に合った入れ歯ににリノベーションして蘇らせることができるのです(リノベーション義歯®)。このようにして食べる時だけではなく身体の一部として常に快適につけていられる入れ歯を製作しています。
当院は株式会社大阪歯科センター入れ歯館®という入れ歯専門の歯科技工所の中にあります。院長である宮野敬士も歯科医師とともに歯科技工士であります。


噛み合わせは全身の健康と密接な関係にあります。噛み合わせがズレていると上部頚椎(第一頚椎と第二頚椎)が歪み脳からの神経の伝達を妨害し、筋・骨格系や自律神経系に多大な影響をもたらします。また全身の経絡の乱れとも関係があります。
当院は宮野カイロプラクティックオフィス(院長は当院院長宮野敬士)と連携し、上部頚椎の歪みと噛み合わせを科学的に分析し、入れ歯を含めた噛み合わせ治療とカイロプラクティックの連携で100パーセントの本来のその人が持つ自然治癒力を引き出す施術を行っております。
肩こり、腰痛、膝関節の痛み、四十肩五十肩、めまい、耳鳴り、眼圧の高さ
不整脈や高血圧、全身の臓器の不調、メンタルの不調や認知症等
当法人では、「入れ歯と健康」というテーマの講演会・勉強会を開催しています。入れ歯でお困りの方は是非参加してください。歯について詳しくなりましょう。その他、普段お話しできない歯に関する悩み・相談も承ります。参加費は無料です。 1回参加するごとに当法人の一般会員になれば使用できるポイントを10000ポイント分差し上げます。
2025年10月30日
2021年02月01日
2019年10月25日
2019年04月28日
私は、歯科技工士と歯科医師の両方の免許を持ち、歯科技工士である父・宮野たかよしの技術を受け継いでクリニックを営んでいます。
歯科医師として治療を行いながら患者の訴える不調の原因が噛み合わせの不均衡にあったことが明白なケースを数多く見てきました。噛み合わせが悪いと筋肉の負担の不均衡から頭を支える首の1番上の骨である第一頚椎、そしてそれを支える第二頚椎に歪みが生じます。そして神経を圧迫し脳からのエネルギーの伝達を悪くし、筋骨格系のみならず2次的3次的に身体に様々な悪影響がでてくるのです。
当院の噛み合わせ治療・入れ歯治療はただ単に噛めるだけではなく、噛めることは当たり前であり、噛み合わせの歪みからくる全身の歪みを取り除き、患者様の自然治癒力を100パーセント発揮できるようにお手伝いさせていただくことが特徴です。
歯科医師として歯科技工士として上部頚椎専門のカイロプラクターとして、それぞれの知識技術をフルに動員して患者様の健康に寄与できることが私の生きがいです。

