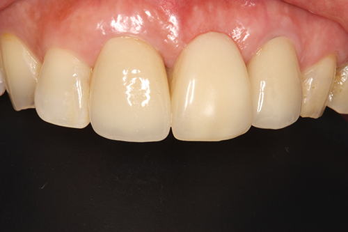
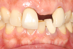
中間欠損(1・2本) 女性中間欠損(1・2本) MTC 2025.09.29 治療前 治療後 治療名称左上1番欠損を両隣在歯のクラウンをやりかえMTコネクターで補綴した症例期間–費用–治療内容–治療に伴うリスク– 会員規約改定のお知らせ 2021.3.1より 前の記事 30代 女性中間欠損(1・2本) MTC 次の記事