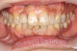
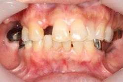
中間欠損 女性中間欠損 MTC 2025.09.29 治療前 治療後 治療名称銀歯をやりかえ上下MTコネクターを装着することで左右で波打つ咬合平面をそろえ審美・機能を回復した症例 アイヒナー分類B2期間–費用–治療内容–治療に伴うリスク– 男性両側遊離端 MTC 前の記事 女性両側遊離端 MTC 次の記事