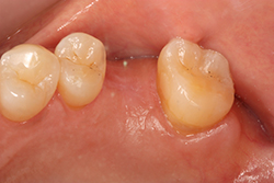
中間欠損(1・2本) 30代 女性中間欠損(1・2本) MTC 2025.09.29 治療前 治療後 治療名称右上6番1本欠損をMTコネクターで補綴した症例期間–費用–治療内容–治療に伴うリスク– 女性中間欠損(1・2本) MTC 前の記事 60代 女性中間欠損 MTC 次の記事