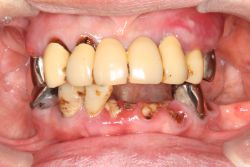
両側遊離端 女性両側遊離端 MTC 2025.09.29 治療前 治療後 治療名称全顎の治療後に上下MTコネクターを装着した症例 アイヒナー分類B4期間–費用–治療内容–治療に伴うリスク– 女性中間欠損 MTC 前の記事 男性総義歯 MTC 次の記事