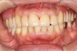
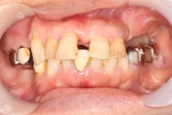
中間欠損 60代 女性中間欠損 MTC 2025.09.29 治療前 治療後 治療名称フレアアウト症例を単独冠と上下のMTコネクターで補綴し、機能と審美の回復を図った症例 アイヒナー分類B4期間–費用–治療内容–治療に伴うリスク– 30代 女性中間欠損(1・2本) MTC 前の記事 男性両側遊離端 MTC 次の記事